- Experience the five star difference
- Transforming Smiles. Changing Lives.
- Loved and Trusted by Thousands.
Teeth Straightening
The Quick & Discreet Way to Fix Crooked Teeth
Dreaming of a straighter, more confident smile? At QuickSmile, we specialise in modern teeth straightening using advanced, lab-designed aligners that are virtually invisible, comfortable to wear, and incredibly effective.
Our expert dentists tailor every treatment to your smile — helping you achieve natural, lasting results without the hassle of traditional braces. Say goodbye to crooked teeth and hello to a beautifully balanced smile that’s made just for you.











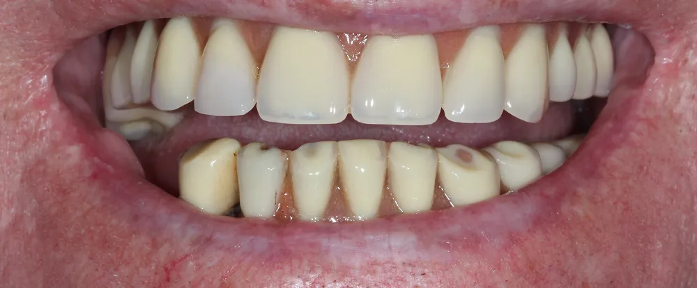
Gallery
Teeth Straightening Before & After
At QuickSmile, our results speak for themselves. See how our advanced, custom-made aligners have transformed smiles — creating beautifully straight, confident results you’ll love to show off.
EXCELLENT Based on 55 reviews Posted on Sam S Friendly, professional and thorough service! Thank you, I’ll defo come back for more services!Posted on Michael I Excellent practice . Dr Soneji is a fantastic articulate dental practitioner .He has a great team around him who are very helpfulPosted on Dan W I had an Ultra Clean with Gaby recently. I was put completely at ease and Gaby was thorough and gentle. Overall a great experience.Posted on Asma Charlotte is a fantastic hygienist and I would 100% recommend her. She handles your teeth with care and tenderness and has great customer service. Keeps you at ease and they were very helpful and understanding as I turned up late for my appointment due to train delays! 5* servicePosted on Amy P Always professional, friendly service, lovely people, good value for money.Posted on HR C Very friendly team. Hygienist was first-class. Patient, considerate, knowledgeable and efficient. Highly recommend. Michaela is 5 stars!!Posted on Annabel E Very happy with my hygenist appointment. A good experience and clean teeth.Posted on Barbara C Gabi was absolutely fantastic. Very gentle but thorough. Left the clinic very happy as teeth felt very clean and there was no discomfort through the cleaning.Verified by TrustindexTrustindex verified badge is the Universal Symbol of Trust. Only the greatest companies can get the verified badge who has a review score above 4.5, based on customer reviews over the past 12 months. Read more
Teeth Straightening Near Me
Your Quick, Comfortable Path to a Confident Smile
At QuickSmile, we make straightening your teeth simple, discreet, and effective. Our custom-designed, virtually invisible aligners are made to fit perfectly and move your teeth gently into alignment — without the discomfort or look of traditional metal braces.
No painful tightenings. No obvious wires. Just a smooth, comfortable experience and stunning results that let you smile confidently every step of the way.
Because at QuickSmile, achieving your dream smile has never been easier — or more effortless.
How Much Does Teeth Straightening Cost?
At QuickSmile, our teeth straightening treatments start from £2,750 — and just like our aligners, our pricing is completely clear and transparent.
You’ll receive a personalised treatment plan with an upfront price, so there are no surprises along the way. Prefer to spread the cost? We also offer flexible, interest-free finance options, making it easier than ever to achieve the smile you’ve always wanted.
Aligners
dependent on complexity
From £2,750 – £4,995

Teeth Straightening Aligners
Why Choose Aligners If You Have Crooked Teeth
At QuickSmile, we believe straightening your teeth should be simple, discreet, and comfortable. Unlike traditional metal braces that can feel bulky and obvious, our custom-made aligners are virtually invisible — allowing you to transform your smile confidently and effortlessly.
Each aligner is designed specifically for your teeth using advanced digital technology and is monitored by our experienced dentists throughout your treatment. You’ll enjoy the same beautiful results as traditional braces, without the discomfort, tightening appointments, or visible brackets.
Because at QuickSmile, your journey to straighter teeth should fit seamlessly into your lifestyle — and make you smile every step of the way.
Central Boutiques
Enjoy quick and easy access to London’s finest boutiques right near our location.
Award Hygienists
Experience care from award-winning, friendly dental hygienists dedicated to your comfort.
Treatment Choices
Choose from a wide range of dental treatments tailored to meet your needs.
Relaxed TV
Watch overhead plasma screens for a calm, entertaining, and stress-free dental visit.
Chilled Environment
Step into a modern, welcoming clinic designed to keep you comfortable and relaxed.
Tube Access
Conveniently located minutes from major tube stations across Central and South London.
New Patients
We warmly welcome new patients anytime with no waiting lists or delays.
No Referral
Book directly without needing a referral—hassle-free and straightforward dental care.
Insurance Cover
Most treatments are covered by insurance, helping you manage costs with ease.
Fresh Breath
Get complementary breath advice with Superclean and Ultraclean treatments for lasting freshness.
Our Steps

Consultation
Your journey begins with a friendly consultation with one of our expert cosmetic dentists. We’ll discuss your goals, examine your teeth, and talk you through the best aligner options to suit your smile and lifestyle.

Digital Scans
Next, we’ll take precise 3D scans, photos, and impressions of your teeth. Using advanced technology, we’ll create a digital simulation so you can see how your new smile will look before treatment even begins.

Aligner Fitting
Once your custom aligners are ready, we’ll ensure they fit comfortably and explain how to wear and care for them. You’ll then leave with your first set of aligners — and the confidence that your smile transformation is officially underway.
Teeth Straightening FAQs
Aligners are clear, removable trays custom-made to gently move your teeth into the perfect position. They’re virtually invisible, comfortable to wear, and designed to fit seamlessly into your daily routine — without affecting how you eat, speak, or smile.
Your journey begins with a detailed consultation and 3D digital scans of your teeth. From there, our dentists create your custom aligners and guide you through each stage of treatment. You’ll switch to a new set of aligners every few weeks as your teeth gradually move into alignment.
Treatment time varies depending on your case, but most QuickSmile patients achieve their new smile within 6 to 12 months. During your consultation, we’ll provide a clear timeline tailored to your needs and smile goals.
You may feel slight pressure when starting a new set of aligners — a sign that they’re working! However, most patients find aligners far more comfortable than traditional braces, with no wires, metal, or irritation.
Aligners offer the same results as braces — without the visibility or discomfort. They’re removable, easier to clean, and allow you to eat whatever you like. Plus, they’re monitored by our expert dentists, ensuring safe and predictable results every step of the way.
Conveniently located in the heart of central london, we are only two minutes walk from piccadily Circus and Green Park tube station
Our Location
15 Pall Mall London, SW1Y 5LU
Phone Number
020 77667150
Email Address
info@quicksmile.co.uk
By reaching out, you’re taking first step toward making a difference and joining a community committed to bringing safe, sustainable.
