- Experience the five star difference
- Transforming Smiles. Changing Lives.
- Loved and Trusted by Thousands.
Dental Implants in London
Dr Javier Perez is our lead Implantologist at Quick Smile and one of only a few Dental Surgeons in the UK to have been awarded both the prestigious Diploma in Implant Dentistry and the Diploma in Advanced Restorative Dentistry from the Royal College of Surgeons of England.
Over the last 17 years, he has successfully placed and restored thousands of dental implants, helping patients regain their confidence and achieve the smile they have always wanted.
At Quick Smile, our focus is on delivering high-quality, long-lasting results. We use trusted, leading implant brands, premium graft materials, and partner with an excellent dental laboratory to ensure the very best outcome for every patient.









Dental Implants in London
Regarded as highly accomplished in his field internationally, our lead implant surgeon carefully selects and endorses the most advanced dental implant systems available — representing the cutting edge of modern dentistry.
“I’m proud to say I have patients I successfully treated 17 years ago who are still smiling today.”
Same-Day Dental Implants
We now offer advanced same-day dental implant solutions. Whether you need to replace a single tooth, between two and five teeth, or in more complex cases up to 20 teeth, we provide fully tailored same-day implant treatments designed to deliver life-changing results — at prices that help keep you smiling.
Using modern same-day implant technology, we can often place an implant immediately after a tooth is extracted, providing efficient and highly effective outcomes.
With our experienced surgeon taking an average of just 20 minutes to place an implant, treatment can be completed in a relatively short time — meaning you can leave ready to smile with confidence.
In most cases, dental implants can last 15 years or more. With the right care and professional advice, they can even become a lifelong solution to missing teeth.
Tired of Loose Dentures?
If you’re frustrated with loose dentures or removing them at night, same-day implants can offer a permanent solution. Implants can be fitted to both the upper and lower jaws alongside a specialised fixed implant denture on the very same day — allowing you to eat, speak and smile comfortably again.
Complimentary Sedation & Flexible Finance
We offer complimentary sedation for patients undergoing full-arch (20 or more teeth) implant treatment.
With flexible finance options, including spreading the cost over up to 48 months, achieving your dream smile can be more accessible than you think — allowing you to enjoy the benefits from the very day your new teeth are fitted.
Trust. Experience. Results.
Trust in your surgeon. Trust in the products.
One of the UK’s most experienced implantologists, combined with premium implant systems and advanced techniques, delivers outstanding long-term outcomes.
Dental implants typically last around 15 years, but with expert guidance and proper care, they can last a lifetime.
Fee Guide
- Initial consultation: £50
- Implant consultation: £75
- Guide price for implant and crown to replace tooth: £2400
- Single implant placement only: £1300
- Implant porcelain crown including abutment (post): £1100
- Bone graft (if required): from £550
- Crowns (Porcelain bonded to metal) from £450
- Crowns (High Grade Porcelain only) from £650
- Implant + Crown (Interest Free Option Available) from £58 per month (over 48 months)
Bespoke treatment plan based on your individual needs given upon consultation with Dr Javier Perez.
Sedation Services for Dental Implants
To ensure your visit is as pleasant and pain free as possible we offer sedation to improve your experience in achieving a life changing beautiful smile. Ask at your consultation for information.
The Award-winning Dental Implant Clinic in London, UK
Mint Dental Centre is a highly rated dental implant clinic in London, UK. Renowned for delivering exceptional care, we are proud of our many genuine patient testimonials and our consistent 5-star rating on Google.
If you're looking for expert dental implants in London, our experienced team at Mint Dental Centre is here to help. We've successfully treated hundreds of patients across the city, offering high-quality, affordable implant solutions tailored to each smile.
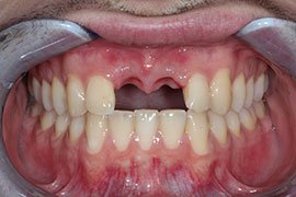
Many people suffer from missing and damaged teeth. It is one of the most common problems, and dental implants offer the best long-term solution. A missing tooth is more than just an inconvenience. You may miss not only your natural smile but also your favourite food. Even some people experience muscle strains and discomfort as their remaining teeth shift.
EXCELLENT Based on 55 reviews Posted on Sam S Friendly, professional and thorough service! Thank you, I’ll defo come back for more services!Posted on Michael I Excellent practice . Dr Soneji is a fantastic articulate dental practitioner .He has a great team around him who are very helpfulPosted on Dan W I had an Ultra Clean with Gaby recently. I was put completely at ease and Gaby was thorough and gentle. Overall a great experience.Posted on Asma Charlotte is a fantastic hygienist and I would 100% recommend her. She handles your teeth with care and tenderness and has great customer service. Keeps you at ease and they were very helpful and understanding as I turned up late for my appointment due to train delays! 5* servicePosted on Amy P Always professional, friendly service, lovely people, good value for money.Posted on HR C Very friendly team. Hygienist was first-class. Patient, considerate, knowledgeable and efficient. Highly recommend. Michaela is 5 stars!!Posted on Annabel E Very happy with my hygenist appointment. A good experience and clean teeth.Posted on Barbara C Gabi was absolutely fantastic. Very gentle but thorough. Left the clinic very happy as teeth felt very clean and there was no discomfort through the cleaning.Verified by TrustindexTrustindex verified badge is the Universal Symbol of Trust. Only the greatest companies can get the verified badge who has a review score above 4.5, based on customer reviews over the past 12 months. Read more
Dental Implants in the safest hands
Dr Javier Perez, our Lead Dental Surgeon at Quick Smile, has extensive experience and advanced qualifications in Oral Surgery and Implantology. He has been awarded the prestigious Diploma in Implant Dentistry, a Master’s in Implant Surgery, and the Diploma in Oral Surgery from the Royal College of Surgeons.
He has successfully placed and restored hundreds of dental implants, helping patients across London regain their confidence and smile with assurance. Dr Javier Perez carefully selects and works with leading dental implant systems, using the latest techniques and cutting-edge modern dentistry to deliver outstanding, long-lasting results.

Dr Javier Perez graduated in Dentistry from the University of Alfonso X in Madrid, Spain in 2010. Following some time working in private practice, he decided to move to London where he has since completed a Masters...
REASONS FOR DENTAL IMPLANTS
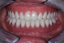
Dental implants are a simple, effective and long-term solution for replacing missing teeth. Unlike traditional dentures, implants do not slip or move when you speak or eat. They look, feel and function just like natural teeth.
A missing tooth can affect daily life in many ways — from reduced confidence when speaking or smiling to difficulty chewing certain foods comfortably.
A dental implant is a small titanium screw that acts as an artificial tooth root. It is carefully placed into the jawbone, where it integrates naturally to provide a strong and stable foundation.
An abutment is a small metal connector that links the implant to the final restoration, such as a crown, bridge or denture. One of the key advantages of implants is that they preserve healthy adjacent teeth, as there is no need to grind them down to support a traditional bridge.
Dental implants provide a secure, natural-looking and long-lasting solution for restoring both function and confidence.
Time-tested Results:
At Quick Smile, London, we highly recommend the ANKYLOS Dental Implant System and the Astra Tech Implant System.
Both systems are supported by extensive clinical research and long-term scientific documentation, offering exceptional stability, reliability and aesthetic results. By using proven, premium implant systems, we ensure our patients receive safe, durable and highly successful outcomes.
No Hidden Costs:
Dr Javier Perez is well-known for his gentle and soft-spoken style, speaks your language and explains your tailor-made treatment plan simply and concisely with no hidden costs.
Is your denture not comfortable or do you just dislike it?
Have you stopped enjoying your meals or are no longer going out for dinners?
Do you avoid smiling due to your missing teeth?
Did you lose your confidence after you lost teeth?
Same day dental implants are the answer!




Central London Location
Located in the heart of London, our clinic is easy to reach, with a welcoming team dedicated to your comfort throughout the process.
Advanced Implant Technology
We use the latest dental implant technology to ensure long-term results, comfort, and faster healing for missing teeth replacement.
Personalised Treatment Plans
We provide tailored dental implant treatment options to match your needs, lifestyle, and budget, making affordable dental implants accessible.
Expert Implant Dentists
We are providing the best implant solutions in London with a team of skilled implant dentists who have years of experience.
FAQ’s
Dental implants are like artificial tooth roots placed surgically into the jawbone. They provide a base for teeth replacement options, such as bridges or crowns.
The dental implant procedure involves many steps. The dentist will numb the area and, to access the jawbone, make a small incision in the gum. Then, a small hole is made into the bone to place the implant. Osseointegration is a process that helps the implant to fuse with the bone over the next few weeks or months. A connector (abutment) is placed on top of the implant once the implant is secure. In the last step, a replacement tooth is attached to the abutment.
No, you will not feel any pain during the procedure. Because the dental implant procedure is performed under local anaesthesia. However, you may experience some pain and swelling after the procedure. The dentist will prescribe medication to help relieve any pain.
You may feel slight pressure when starting a new set of aligners — a sign that they’re working! However, most patients find aligners far more comfortable than traditional braces, with no wires, metal, or irritation.
Dental implants are the best and long-term solution for missing teeth. Proper care and maintenance can help to last for many years and even a lifetime. However, the life of dental implants can vary depending on factors such as bone tissue quality, the patient's oral hygiene habits, and other health conditions.
Caring for dental implants is simple, just like your natural teeth. Clean your mouth with daily brushing and flossing and regular visits to your dentist for checkups and cleanings. You may also need special tools like water flossers or interdental brushes to clean the implant properly.
Some risks are associated with dental implants, like any other surgical procedure. It includes infection, nerve damage, or implant failure. However, these risks are rare; most patients experience successful results with few complications.
The cost can vary depending on the number of implants, the location of the implants, and other factors. Book a consultation with our dental team to get an accurate price range.
Dental implants are a safe and helpful solution for many people. However, they are not fit for everyone. The procedure's success depends on the oral health, bone density, and overall health. Book a consultation with us; our dentist will thoroughly examine you and help you determine if dental implants are a good option.
The cost can vary depending on the number of implants, the location of the implants, and other factors. Book a consultation with our dental team to get an accurate price range.
Schedule a consultation with us if you are considering dental implants. During the consultation, the team will examine your oral health and issues to determine whether you are a good candidate for dental implants. Our team will help you with procedure information, including the cost and any financing options that may be available.
